Quick, Invisible, Removable, Unbelievably Comfortable (EMI - Options Available)
Star
reviews
Orthodontist
Of India
Forever
confident smile
Black-Diamond
Invisalign Provider
40,000+ Happy
Smiles-since 1973
Star
reviews
Orthodontist
Of India
Forever
confident smile
Black-Diamond
Invisalign Provider
40,000+ Happy
Smiles-since 1973
We scan your teeth to understand the situation And diagnose your problem using Align digital suite .
An AI-based plan, tailored from doctor inputs and refined by Invisalign Expert Dr Jignesh Kothari, is delivered with instructions. Aligners must be worn 20–22 hours daily.
After completing your treatment your new smile shall Be maintained with a pair of retainers which you have to wear as per doctors instructions
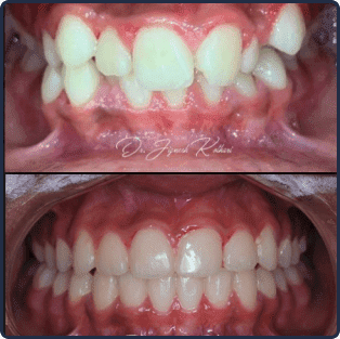
Overbite
Crossbite
Underbite
Gapped Teeth
Overly Crowded
Unstraight Teeth





verified user
I'm glad that I chose to come here for my teeth alignment, and had an amazing experience with Dr Jignesh Kothari and his team. The treatment was extremely smooth and didn't require frequent monitoring (making it super convenient). Overall I am very happy with the results and would highly recommend this place for a painless Invisalign treatment
verified user
My overall experience with Dr. Jignesh Kothari was great. Very helpful and friendly staff. I also had a last minute 3 month trip planned out of country during my treatment and the clinic was quite flexible with my appointments and made sure my treatment wasn't interrupted because of it. Pretty satisfied with my overall results. A big thank you to Dr. Jignesh Kothari and team
verified user
Dr Jignesh Kothari is one of the best dentists in Mumbai.He goes above and beyond for his patients. His Invisalign treatment is painless and with fabulous results..my daughters smile has never looked better. Would recommend everyone to go to Dr Kothari without any hesitation
verified user
Had a great experience with the Invisalign treatment from Dr Jignesh Kothari. Definitely worth it because of the flexibility and results Invisalign provides. The clinic is also taking necessary covid related precautions which made me feel more comfortable while visiting for my appointments here
verified user
My Invisalign experience with Dr. Kothari was flawless. The entire staff ensured that all the necessary Covid precautions were taken, which made my Invisalign journey very smooth. The treatment as a whole was painless and didn’t require frequent monitoring, making it very convenient. I am very happy with the outcome and I highly recommend starting your Invisalign journey with Dr. Kothari
verified user
The Invisalign journey with Dr Jignesh Kothari has truly been a seamless and great experience. The whole process was painless and the results were very effective. Big thanks to Doctor and his team for ensuring the whole journey was smooth sailing
Open: Monday-Saturday
Timing: 9:30AM-8:30PM
(Close at 6:30PM on Saturday)Call On